女性獣医師応援ポータルサイト

文字サイズ

  • 標準
  • 拡大

獣医師生涯研修事業Q&A 小動物編

獣医師生涯研修事業Q&A 小動物編(日本獣医師会雑誌 第78巻(令和7年)第12号掲載)

症例:犬(トイプードル),去勢雄,12 歳

既往歴:粘液腫様変性性僧帽弁疾患(無治療)

主訴・症状:半年前から1 日1 回ほど咳嗽が認められており,徐々に頻度が増加していた.

身体検査:体重 4.2 kg,体温 39.0℃,心拍数 198 回/分,パンティング,左側心尖部を最強点とする全収縮期性雑音 Grade 5,不整脈なし

胸部X 線検査:重度心拡大,肺野全域に気管支パターン

心臓超音波検査:重度の僧帽弁逆流,左心房及び左心室の拡大(左心房大動脈径比 3.97,体重標準化左心室拡張末期径 2.37),左心室流入早期波 1.33 m/sec

検査後所見:検査結果の説明中に,突然ぐったりして虚脱している様子が確認された.心拍数 186 回/ 分,不整脈なし,毛細血管再充塡時間2.5 秒,大腿動脈圧はほぼ触知できず,収縮期血圧 83 mmHg,経皮的動脈酸素飽和度97%

ポイント・オブ・ケア胸部超音波検査:図1 及び2


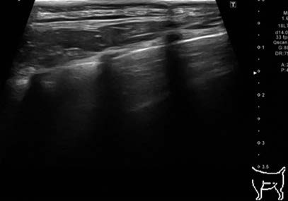
図1 左側胸壁の肺エコー画像
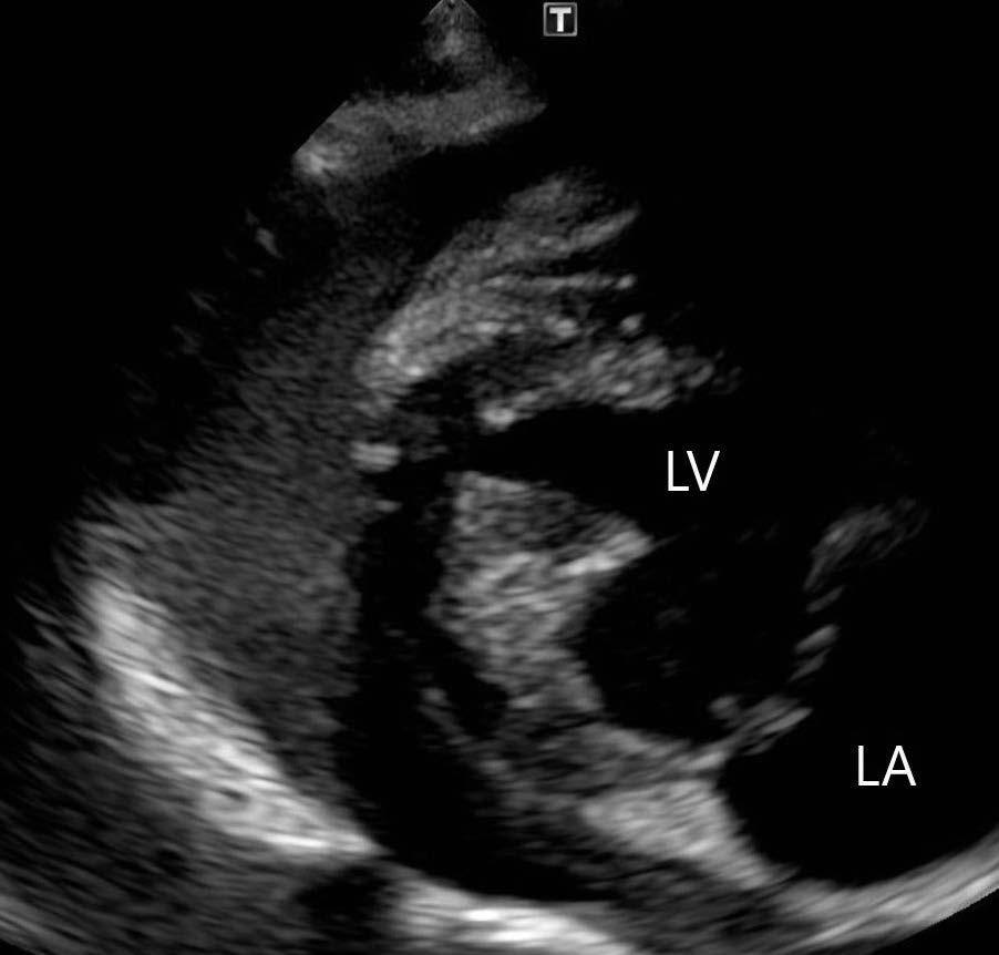
図2 右傍胸骨長軸四腔断面

質問1:本症例が検査中に突然虚脱した場合に考えられる病態は何か.

質問2:ポイント・オブ・ケア胸部超音波検査で得られた結果より最も疑わしい病態は何か.その治療法として考えられるものは何か.

解答

質問 1 に対する解答と解説:
本症例のように重度の粘液腫様変性性僧帽弁疾患(MMVD)を有しており,突然の虚脱が認められた場合に,①左心房破裂(心タンポナーデを伴うとは限らない),②急性心不全による心原性肺水腫を鑑別に挙げる必要がある.①は急性に左心房の裂け目から心膜腔内へ出血する.出血による循環血液量の低下に加えて,心臓の拡張が障害され全身への拍出が低下して,全身血圧が低下することにより虚脱が起こる.②は呼吸不全による低酸素血症のため虚脱を起こすことがある.ただし呼吸困難や頻呼吸が主症状として現れるため,一見すると①との判別は容易と思われる.しかし本症例のように急性に虚脱を引き起こした場合には,心不全を呈していなくとも呼吸困難や頻呼吸が認められるため,注意が必要である.過去の報告では,MMVDによる左心房破裂症例の半数程度は呼吸困難・頻呼吸を呈していたが,心不全を併発していなかった症例も1/3 程度存在していた[1].そのため症状では判別が難しい場合もあるため,急性の虚脱が認められた症例には,まずはポイント・オブ・ケア胸部超音波検査が非侵襲的かつ迅速に実施可能な検査として有用と考える.


質問 2 に対する解答と解説:
急性に状態が悪化した症例を無理に検査(胸部X線検査や横臥位での超音波検査)することで状態がさらに悪化する可能性がある.そのため,立位などの無理のない体勢でのポイントを絞った簡易的な胸部超音波検査(ポイント・オブ・ケア胸部超音波検査)を行うとよい.ポイント・オブ・ケア胸部超音波検査では,胸水貯留,気胸,心膜液貯留,心拡大,肺の異常を検出することが可能である.

図1 は症例の左側胸壁からの肺エコー像で,正常な肺で観察されるA ラインを示している.正常であれば高エコー性に描出される肺胸膜ラインの下方に多重反射により形成されたA ラインが認められる.肺水腫であった場合には肺胸膜ラインから垂直方向に減衰せずにA ラインをかき消す高輝度線状アーチファクトであるB ラインが観察されることがある.本症例では両側いずれの領域においてもBラインが認められなかったことや経皮的動脈酸素飽和度が正常であったことから,急性心不全による肺水腫は否定的と判断した.図2 は心膜液貯留と心膜腔内の血餅を疑う構造物を示している.心外膜の外側(心膜腔)に無エコー性の液体貯留が認められることから心膜液貯留と判断できる.さらに一部に血餅を疑うエコー源性のある構造物が存在することから左心房破裂による心膜液貯留と診断することができる.本症例はこれまで心不全に起因していると考えられる症状(頻呼吸,呼吸困難など)を呈しておらず,胸部X 線検査と心臓超音波検査で心拡大の基準(EPIC 基準)を満たしていたことからMMVDACVIM stage B2 と診断された.左心房破裂は心不全を呈したことのないstage B2 でも認められることがある(15 頭中6 頭がstage B2)と報告されているため,心不全の既往がなかったとしても除外できない点に注意する必要がある[1].

治療としては現時点で確立したものはない.stage B2 以上であればピモベンダンの投与が推奨され,肺水腫が併発していた場合にはループ利尿薬の投与が考慮される.しかし左心房破裂では循環不全に陥っている場合があり,ループ利尿薬は循環血液量を減少させることで病態を悪化させる可能性がある.本症例では毛細血管再充塡時間の延長,大腿動脈圧の減弱,収縮期血圧の低下が認められていたことから,心不全(肺水腫)を呈していたとしても利尿剤の投与は慎重に判断する必要があった.実際にはピモベンダンの静脈内投与に加えて静脈点滴とドブタミンの持続点滴を実施した.また心膜穿刺による心膜液抜去を行うべきか意見が分かれる.心膜穿刺は比較的安全に実施可能であり合併症が少ないという意見と出血を助長させ得るという意見などがあり,一概に実施すべきとは言えない.少なくとも心タンポナーデを呈していない場合には,経過観察をしてもよいのではないかと考えている.本症例においては心膜穿刺を実施しなかったが,翌日には来院時と同様の状態に改善し退院することができた.4 日後には心膜液の減少,3 週間後には消失が認められた.

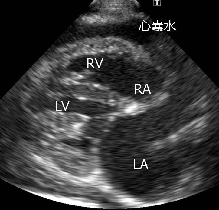
心タンポナーデの有無は,心膜液の貯留量では評価できず,収縮期(心房が拡張している時相)において右心房が虚脱(内側にへこむ)しているか否かで判断する(図3).直後の評価では心タンポナーデではないと判断した場合でも,貯留量が増加してくることで変化する可能性もあるため,経時的な観察が推奨される.


図3 収縮期における右傍胸骨長軸四腔断面右心房は虚脱していなかったことから心タンポナーデは呈していないと判断された.

参考文献

  • [ 1 ]Czech AA, Glaus TM, Testa F et al. : Clinical presentation, echocardiographic findings, treatment strategies, and prognosis of dogs with myxomatous mitral valve disease presented with pericardial ef fusion due to suspected left atrial tear: a retrospective case-control study, J Vet Cardiol, 51, 105-115 (2024)

キーワード:犬,虚脱,粘液腫様変性性僧帽弁疾患,左心房破裂,心膜液貯留